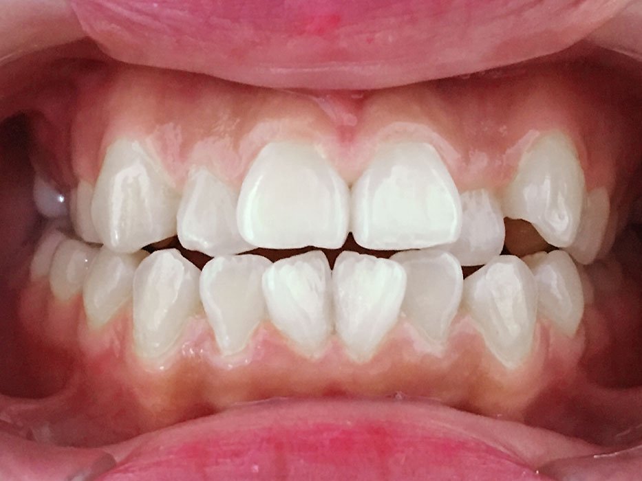
Khám Phá Giải Pháp Niềng Răng Tại Nha Khoa Quốc Tế Tuệ Minh!
Giải pháp niềng răng không chỉ giúp cải thiện hình dáng răng mà còn có thể điều chỉnh hàm và tạo ra một nụ cười đều đặn và hài hòa. Tại Nha Khoa TUỆ MINH, chúng tôi cung cấp các dịch vụ niềng răng chuyên nghiệp và hiệu quả để mang lại cho bạn một nụ cười đẹp tự nhiên và tự tin hơn.
Lợi Ích của Niềng Răng tại Nha Khoa Quốc Tế TUỆ MINH
- Cải Thiện Hình Dáng Răng: Niềng răng giúp điều chỉnh vị trí của răng và tạo ra một dãy răng đều đặn và hài hòa.
- Điều Chỉnh Hàm Hơn: Ngoài việc cải thiện hình dáng răng, niềng răng cũng có thể giúp điều chỉnh hàm và cải thiện chức năng nhai.
- Nụ Cười Tự Tin: Một nụ cười đều đặn và hài hòa sẽ mang lại sự tự tin và cuốn hút trong giao tiếp và gặp gỡ.
Quy Trình Niềng Răng tại Nha Khoa Quốc Tế TUỆ MINH
1. Tư Vấn và Chẩn Đoán
Đội ngũ bác sĩ chuyên nghiệp của chúng tôi sẽ thực hiện một cuộc tư vấn và chẩn đoán kỹ lưỡng để đề xuất phương pháp niềng răng phù hợp nhất với tình trạng của bạn.
2. Lên Kế Hoạch Điều Trị
Dựa trên chẩn đoán, chúng tôi sẽ lên kế hoạch điều trị chi tiết và đề xuất phương pháp niềng răng thích hợp nhất.
3. Tiến Hành Niềng Răng
Sử dụng các kỹ thuật và trang thiết bị hiện đại, quy trình niềng răng sẽ được thực hiện một cách cẩn thận và chuyên nghiệp.
4. Theo Dõi và Chăm Sóc Sau Niềng Răng
Sau khi hoàn thành niềng răng, chúng tôi sẽ tiếp tục theo dõi và cung cấp hướng dẫn chăm sóc sau niềng răng để đảm bảo kết quả tốt nhất.
Liên Hệ Ngay
Hãy liên hệ với Nha Khoa TUỆ MINH ngay hôm nay để biết thêm thông tin về các dịch vụ niềng răng và đặt lịch hẹn để bắt đầu hành trình cải thiện hình dáng răng và điều chỉnh hàm của bạn. Chúng tôi cam kết mang lại cho bạn một trải nghiệm điều trị niềng răng chuyên nghiệp và đem lại nụ cười tự tin và đẹp tự nhiên nhất!
Khám Phá Giải Pháp Niềng Răng Tại Nha Khoa Quốc Tế TUỆ MINH
Việc niềng răng không chỉ giúp cải thiện hình dáng răng mà còn có thể điều chỉnh hàm và tạo ra một nụ cười đều đặn và hài hòa. Tại Nha Khoa TUỆ MINH, chúng tôi cung cấp các dịch vụ niềng răng chuyên nghiệp và hiệu quả để mang lại cho bạn một nụ cười đẹp tự nhiên và tự tin hơn.
Lợi Ích của Niềng Răng tại Nha Khoa Quốc Tế TUỆ MINH
- Cải Thiện Hình Dáng Răng: Niềng răng giúp điều chỉnh vị trí của răng và ra một dãy răng đều đặn và hài hòa.
- Điều Chỉnh Hàm Hơn: Ngoài việc cải thiện hình dáng răng, niềng răng cũng có thể giúp điều chỉnh hàm và cải thiện chức năng nhai.
- Nụ Cười Tự Tin: Một nụ cười đều đặn và hài hòa sẽ mang lại sự tự tin và cuốn hút trong giao tiếp và gặp gỡ.
Quy Trình Niềng Răng tại Nha Khoa TUỆ MINH
1. Tư Vấn và Chẩn Đoán
Đội ngũ bác sĩ chuyên nghiệp của chúng tôi sẽ thực hiện một cuộc tư vấn và chẩn đoán kỹ lưỡng để đề xuất phương pháp niềng răng phù hợp nhất với tình trạng của bạn.
2. Lên Kế Hoạch Điều Trị
Dựa trên chẩn đoán, chúng tôi sẽ lên kế hoạch điều trị chi tiết và đề xuất phương pháp niềng răng thích hợp nhất.
3. Tiến Hành Niềng Răng
Sử dụng các kỹ thuật và trang thiết bị hiện đại, quy trình niềng răng sẽ được thực hiện một cách cẩn thận và chuyên nghiệp.
4. Theo Dõi và Chăm Sóc Sau Niềng Răng
Sau khi hoàn thành niềng răng, chúng tôi sẽ tiếp tục theo dõi và cung cấp hướng dẫn chăm sóc sau niềng răng để đảm bảo kết quả tốt nhất.
Liên Hệ Ngay
Hãy liên hệ với Nha Khoa TUỆ MINH ngay hôm nay để biết thêm thông tin về các dịch vụ niềng răng và đặt lịch hẹn để bắt đầu hành trình cải thiện hình dáng răng và điều chỉnh hàm của bạn. Chúng tôi cam kết mang lại cho bạn một trải nghiệm điều trị niềng răng chuyên nghiệp và đem lại nụ cười tự tin và đẹp tự nhiên nhất!
Khám Phá Giải Pháp Niềng Răng Tại Nha Khoa TUỆ MINH
Việc niềng răng không chỉ giúp cải thiện hình dáng răng mà còn có thể điều chỉnh hàm và tạo ra một nụ cười đều đặn và hài hòa. Tại Nha Khoa TUỆ MINH, chúng tôi cung cấp các dịch vụ niềng răng chuyên nghiệp và hiệu quả để mang lại cho bạn một nụ cười đẹp tự nhiên và tự tin hơn.
Lợi Ích của Niềng Răng tại Nha Khoa TUỆ MINH
- Cải Thiện Hình Dáng Răng: Niềng răng giúp điều chỉnh vị trí của răng và tạo ra một dãy răng đều đặn và hài hòa.
- Điều Chỉnh Hàm Hơn: Ngoài việc cải thiện hình dáng răng, niềng răng cũng có thể giúp điều chỉnh hàm và cải thiện chức năng nhai.
- Nụ Cười Tự Tin: Một nụ cười đều đặn và hài hòa sẽ mang lại sự tự tin và cuốn hút trong giao tiếp và gặp gỡ.
Quy Trình Niềng Răng tại Nha Khoa TUỆ MINH
1. Tư Vấn và Chẩn Đoán
Đội ngũ bác sĩ chuyên nghiệp của chúng tôi sẽ thực hiện một cuộc tư vấn và chẩn đoán kỹ lưỡng để đề xuất phương pháp niềng răng phù hợp nhất với tình trạng của bạn.
2. Lên Kế Hoạch Điều Trị
Dựa trên chẩn đoán, chúng tôi sẽ lên kế hoạch điều trị chi tiết và đề xuất phương pháp niềng răng thích hợp nhất.
3. Tiến Hành Niềng Răng
Sử dụng các kỹ thuật và trang thiết bị hiện đại, quy trình niềng răng sẽ được thực hiện một cách cẩn thận và chuyên nghiệp.
4. Theo Dõi và Chăm Sóc Sau Niềng Răng
Sau khi hoàn thành niềng răng, chúng tôi sẽ tiếp tục theo dõi và cung cấp hướng dẫn chăm sóc sau niềng răng để đảm bảo kết quả tốt nhất.
Liên Hệ Ngay
Hãy liên hệ với Nha Khoa TUỆ MINH ngay hôm nay để biết thêm thông tin về các dịch vụ niềng răng và đặt lịch hẹn để bắt đầu hành trình cải thiện hình dáng răng và điều chỉnh hàm của bạn. Chúng tôi cam kết mang lại cho bạn một trải nghiệm điều trị niềng răng chuyên nghiệp và đem lại nụ cười tự tin và đẹp tự nhiên nhất!
Khám Phá Giải Pháp Niềng Răng Tại Nha Khoa TUỆ MINH
Việc niềng răng không chỉ giúp cải thiện hình dáng răng mà còn có thể điều chỉnh hàm và tạo ra một nụ cười đều đặn và hài hòa. Tại Nha Khoa TUỆ MINH, chúng tôi cung cấp các dịch vụ niềng răng chuyên nghiệp và hiệu quả để mang lại cho bạn một nụ cười đẹp tự nhiên và tự tin hơn.
Lợi Ích của Niềng Răng tại Nha Khoa TUỆ MINH
- Cải Thiện Hình Dáng Răng: Niềng răng giúp điều chỉnh vị trí của răng và tạo ra một dãy răng đều đặn và hài hòa.
- Điều Chỉnh Hàm Hơn: Ngoài việc cải thiện hình dáng răng, niềng răng cũng có thể giúp điều chỉnh hàm và cải thiện chức năng nhai.
- Nụ Cười Tự Tin: Một nụ cười đều đặn và hài hòa sẽ mang lại sự tự tin và cuốn hút trong giao tiếp và gặp gỡ.
Quy Trình Niềng Răng tại Nha Khoa TUỆ MINH
1. Tư Vấn và Chẩn Đoán
Đội ngũ bác sĩ chuyên nghiệp của chúng tôi sẽ thực hiện một cuộc tư vấn và chẩn đoán kỹ lưỡng để đề xuất phương pháp niềng răng phù hợp nhất với tình trạng của bạn.
2. Lên Kế Hoạch Điều Trị
Dựa trên chẩn đoán, chúng tôi sẽ lên kế hoạch điều trị chi tiết và đề xuất phương pháp niềng răng thích hợp nhất.
3. Tiến Hành Niềng Răng
Sử dụng các kỹ thuật và trang thiết bị hiện đại, quy trình niềng răng sẽ được thực hiện một cách cẩn thận và chuyên nghiệp.
4. Theo Dõi và Chăm Sóc Sau Niềng Răng
Sau khi hoàn thành niềng răng, chúng tôi sẽ tiếp tục theo dõi và cung cấp hướng dẫn chăm sóc sau niềng răng để đảm bảo kết quả tốt nhất.
Liên Hệ Ngay
Hãy liên hệ với Nha Khoa TUỆ MINH ngay hôm nay để biết thêm thông tin về các dịch vụ niềng răng và đặt lịch hẹn để bắt đầu hành trình cải thiện hình dáng răng và điều chỉnh hàm của bạn. Chúng tôi cam kết mang lại cho bạn một trải nghiệm điều trị niềng răng chuyên nghiệp và đem lại nụ cười tự tin và đẹp tự nhiên nhất!












