Cách Phòng Ngừa Sâu Răng và Bệnh Nướu Hiệu Quả
Chào mừng bạn đến với Nha khoa Quốc tế Tuệ Minh, nơi chúng tôi cam kết cung cấp những giải pháp chăm sóc răng miệng hiệu quả và khoa học nhất.
Tại sao phòng ngừa sâu răng và bệnh nướu quan trọng?
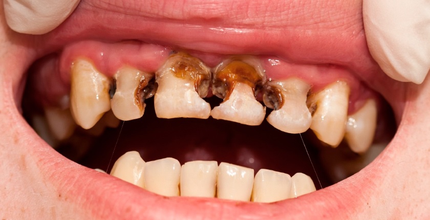
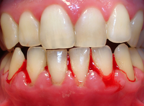
Sâu răng và bệnh nướu là hai vấn đề phổ biến nhưng có thể dẫn đến những hậu quả nghiêm trọng nếu không được phát hiện và điều trị kịp thời. Sâu răng gây tổn thương cho cấu trúc răng, trong khi bệnh nướu có thể dẫn đến viêm nhiễm và mất răng. Để giúp bảo vệ hàm răng và duy trì sức khỏe toàn diện, việc phòng ngừa sâu răng và bệnh nướu là vô cùng quan trọng.
Nguyên nhân chính của sâu răng và bệnh nướu là:
- Sâu răng:
- Vi khuẩn và mảng bám: Vi khuẩn trong miệng tạo thành mảng bám trên bề mặt răng từ các đường carbohydrates trong thức ăn, sản sinh axit gây ăn mòn men răng.
- Thói quen ăn uống: Tiêu thụ thức ăn giàu đường và tinh bột có thể tạo điều kiện cho vi khuẩn phát triển và gây sâu răng.
- Chăm sóc răng miệng không đúng cách: Đánh răng không đủ thường xuyên hoặc không đúng kỹ thuật, không sử dụng kem đánh răng có fluoride.
- Yếu tố di truyền: Một số người có yếu tố di truyền khiến họ dễ bị sâu răng hơn.
2. Bệnh nướu:
-
- Plaque và vi khuẩn: Mảng bám plaque tích tụ quanh nướu và dưới đường biên nướu, chứa vi khuẩn gây viêm nướu.
- Thói quen chăm sóc răng miệng không tốt: Đánh răng không đúng kỹ thuật, không sử dụng chỉ nha khoa, không làm sạch giữa các răng.
- Yếu tố di truyền: Các yếu tố di truyền có thể làm tăng nguy cơ bệnh nướu.
Các phương pháp phòng ngừa sâu răng và bệnh nướu hiệu quả
- Chăm sóc răng miệng hàng ngày đúng cách: Điều trị từ nhà bao gồm đánh răng ít nhất hai lần một ngày bằng kem đánh răng chứa fluoride và sử dụng chỉ nha khoa để làm sạch các vùng khó tiếp cận.
- Điều chỉnh chế độ ăn uống: Hạn chế tiêu thụ thức uống có đường và các loại thực phẩm có đường, duy trì một chế độ ăn uống giàu vitamin và khoáng chất.
- Định kỳ đi khám nha khoa: Điều này giúp phát hiện sớm các vấn đề răng miệng, điều trị sớm để tránh những biến chứng nghiêm trọng.
- Làm sạch và thay đổi bàn chải đánh răng định kỳ: Thay đổi bàn chải đánh răng mỗi 3 tháng hoặc khi lông bàn chải bị biến dạng.
- Hỗ trợ điều trị chuyên sâu: Nếu cần thiết, điều trị nha khoa chuyên sâu như làm sạch răng chuyên nghiệp hoặc phẫu thuật nha khoa sẽ giúp ngăn ngừa sâu răng và bệnh nướu phát triển.
Tại Nha khoa Quốc tế Tuệ Minh, chúng tôi cam kết
Với đội ngũ bác sĩ giàu kinh nghiệm và trang thiết bị hiện đại, chúng tôi tự hào mang lại sự an tâm và chất lượng dịch vụ tối ưu cho mỗi bệnh nhân.
Hãy liên hệ với chúng tôi ngay hôm nay để biết thêm thông tin chi tiết và đặt lịch hẹn khám sức khỏe răng miệng của bạn. Chúng tôi luôn sẵn sàng phục vụ và hỗ trợ bạn trong mọi vấn đề liên quan đến sức khỏe răng miệng.
Nha khoa Quốc tế Tuệ Minh – Nụ cười khỏe, vững bền!



