HẬU QUẢ CỦA VIỆC MẤT RĂNG!
Bạn có biết mất răng vĩnh viễn gây ra nhiều hậu quả nghiêm trọng tới khả năng nhai, thẩm mỹ, xô lệch các răng còn lại…Cho nên cần có những biện pháp can thiệp sớm khi có tình trạng mất răng xảy ra.
1.Nguyên nhân gây mất răng
Có rất nhiều nguyên nhân có thể dẫn tới mất răng vĩnh viễn như:

- Hậu quả của các bệnh lý răng miệng như sâu răng, viêm tủy, viêm nha chu…
- Do chấn thương làm hỏng răng, gãy răng.
- Do răng số 8 mọc lệch làm hỏng răng bên cạnh, hỏng chân răng nên phải loại bỏ răng.
- Do chế độ dinh dưỡng không hợp lý: Ăn uống không đủ chất như canxi, kali… làm răng bị suy yếu dễ dẫn tới tình trạng mất răng.
- Do tuổi tác: Đây là nguyên nhân không thể thay đổi được, khi tuổi tác càng cao các hoạt động nhai, nghiến và cắn dùng lâu dần sẽ gây bào mòn lớp men và các góc cạnh của răng, dẫn tới hiện tượng lão hóa. Lão hóa răng khiến cho răng không còn chắc khoẻ và dẫn đến mất răng.
2. Hậu quả của việc mất răng?
Mất răng sẽ dẫn đến những hậu quả nghiêm trọng như:
2.1. Làm giảm chức năng nhai, gây ra ảnh hưởng hệ tiêu hóa
Khi mất răng, tạo nên các khoảng trống trong hàm, làm việc ăn uống trở nên khó khăn hơn. Thức ăn không được nghiền nhỏ trước khi nuốt, khó tiêu hóa, buộc dạ dày phải hoạt động hết công suất để co bóp, nhào trộn thức ăn và chuyển hóa chất dinh dưỡng. Trong thời gian dài, dạ dày bị quá tải, dễ bị tổn thương và dẫn đến đau.
Đối với người trung niên hoặc người cao tuổi mất nhiều răng, cơ thể trở nên suy nhược, luôn cảm thấy mệt mỏi và chán ăn, dẫn đến giảm cân, lão hóa và giảm hiệu suất làm việc.
2.2. Ảnh hưởng đến sở thích và thú vui ăn uống
Mất răng sẽ dẫn đến tình trạng chán ăn, sụt cân và ảnh hưởng tiêu cực đến tinh thần cũng như sức khỏe toàn diện của cơ thể.
2.3. Tiêu xương hàm
Răng mất đi làm lực nhai không còn tác động lên răng, dẫn đến xương hàm bị tiêu. Trong trường hợp mất răng kéo dài, tình trạng tiêu xương trở nên nghiêm trọng, làm giảm khả năng phục hồi răng mới. Do đó, bác sĩ phải tiến hành phẫu thuật ghép xương để có thể phục hồi răng mới.
2.4. Xô lệch răng và gây sai khớp cắn
Khi mất răng, các răng còn lại trong hàm có thể bị lệch, dẫn đến rối loạn khớp cắn. Cụ thể như sau:
- Ngay cả khi chỉ mất một răng, răng ở hàm đối diện sẽ thiếu sự hỗ trợ. Theo thời gian, răng này có thể trồi lên hoặc tụt xuống phía răng đã mất. Dẫn đến làm lệch khớp cắn tự nhiên của hàm, gây đau khi nhai và ảnh hưởng đến khả năng nhai, cắn thức ăn.
- Khi mất răng, lực nhai không còn được phân bố đều. Hai răng bên cạnh răng đã mất sẽ mất điểm tựa. Do đó, chúng có xu hướng dịch chuyển, xô về phía răng đã mất. Theo thời gian, điều này tạo ra các khoảng trống, cho phép các răng còn lại trong hàm tiếp tục lệch theo.
5. Mất răng hàm gây tình trạng bị hóp má và lão hóa sớm
Một trong những hậu quả lớn của việc mất răng là quá trình lão hóa sớm. Khi xương hàm mất dần do mất răng kéo dài, hai bên má sẽ hóp vào, da mặt trở nên chảy xệ và vùng da xung quanh miệng xuất hiện nếp nhăn. Điều này khiến khuôn mặt trông già đi đáng kể so với tuổi thật.
6. Ảnh hưởng các răng xung quanh
Răng mất mà không được phục hồi, gây ra tác động nghiêm trọng đến các răng xung quanh. Răng đối diện mất đi lực nâng đỡ, sẽ trồi vào khoảng trống do răng mất gây ra hoặc chìa ra phía trước dẫn đến di chuyển xa hoặc gần do mất răng hàm. Do đó, gây khó khăn khi ăn nhai, đau vùng thái dương, mỏi hàm, mỏi cơ cổ, nghiến răng,…
7. Bệnh đau đầu, đau cổ vai do mất răng
Khi răng mất, lực nâng đỡ cho các răng khác cũng mất đi, khiến cho các răng còn lại có xu hướng nghiêng theo các hướng ngẫu nhiên. Đồng thời, lực nhai tác động lên các răng kế bên tăng lên một cách bất thường, ảnh hưởng đến dây thần kinh kết nối hai xương hàm và gây ra đau đầu, đau cổ vai,…
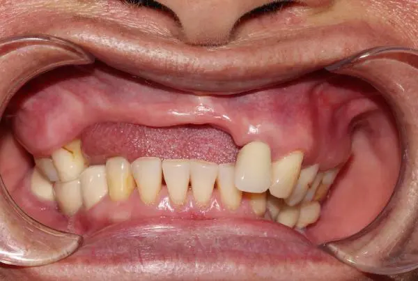
8. Mất thẩm mỹ
Khi răng cửa mất đi, sẽ xuất hiện 1 khoảng trống lớn trên miệng khi cười hoặc nói khiến bạn thấy thiếu tự tin và ngại ngùng khi giao tiếp. Dẫn đến ảnh hưởng nghiêm trọng đến cuộc sống và công việc.
9. Ảnh hưởng đến khả năng phát âm
Khi mất răng, đặc biệt là răng cửa, có thể khiến cho việc phát âm từng chữ trở nên khó khăn hơn, dẫn đến tình trạng nói ngọng.
10. Dây thần kinh bị ảnh hưởng gây loạn khớp thái dương hàm
Răng đóng vai trò quan trọng trong việc kiểm soát cảm giác và vận động các cơ mặt qua dây thần kinh. Tuy nhiên, khi mất 1, 2 hoặc nhiều răng hàm, sẽ làm hàm bị lệch, thưa hoặc mất răng, dẫn đến sai khớp cắn và tình trạng tiêu xương hàm kéo dài.
Mất răng làm rối loạn sự nâng đỡ của khớp cắn lên khớp thái dương hàm, dẫn đến loạn năng khớp thái dương hàm sẽ gây đau đầu, đau vùng thái dương, và các triệu chứng thường thấy khác ở các cơ vùng cổ-vai-gáy.
Biện pháp phòng ngừa mất răng
Để ngăn chặn tình trạng mất răng, bạn cần thực hiện các biện pháp sau:
- Vệ sinh răng miệng hàng ngày: Thực hiện vệ sinh răng miệng đều đặn 2 lần mỗi ngày, trước khi đi ngủ và sau khi thức dậy.
- Sử dụng chỉ nha khoa: Dùng chỉ nha khoa sau bữa ăn giúp làm sạch mảng bám thức ăn trong các kẽ răng, đồng thời giảm thiểu tình trạng răng chảy máu do sử dụng tăm lâu ngày.
- Thăm khám nha sĩ định kỳ: Đảm bảo răng của bạn luôn chắc khỏe bằng cách thăm khám nha sĩ định kỳ 6 tháng/lần.
- Xử lý kịp thời các vấn đề về răng miệng: Khi phát hiện các vấn đề về răng miệng, như sâu răng, viêm nha chu, áp xe quanh răng, cần có biện pháp xử lý đúng cách và kịp thời. Tránh để bệnh kéo dài có thể dẫn đến viêm tủy răng, mất răng.
Những biện pháp này không chỉ giúp bảo vệ răng miệng, mà còn giúp cải thiện sức khỏe toàn diện và tăng cường sự tự tin trong giao tiếp hàng ngày.
3. Làm gì khi bị mất răng?
Rất nhiều người thắc mắc phải làm gì khi mất răng, đặc biệt nhiều người thắc mắc mất nhiều răng phải làm sao? Khi mất răng có thể sử dụng một số biện pháp để khắc phục nhằm hạn chế tối đa nguy cơ biến chứng do mất răng gây ra như:
- Hàm giả tháo lắp
Đây là kỹ thuật thường được áp dụng với những người cao tuổi, những bệnh nhân bị mất răng lâu ngày. Kỹ thuật này có thể sử dụng khi mất một tay một vài răng thậm trí toàn bộ hàm răng. Phương pháp này sử dụng một hàm giả có phần mô nướu gắn trực tiếp lên nướu của bệnh nhân có thể làm hàm giả bán phần hay toàn phần tùy vào từng đối tượng. Khi sử dụng kỹ thuật hàm giả tháo lắp này thì hoàn toàn có thể tháo ra vệ sinh dễ dàng. Những nhược điểm của phương pháp này là khi hàm tháo lắp sẽ bị cong và lệch khi bị một lực tác động mạnh, khả năng nhai yếu, dễ rơi khi sử dụng một thời gian, không ngăn được sự tiêu xương… Vì vậy, kỹ thuật này hiện không còn được sử dụng nhiều.
- Làm cầu răng sứ
Đây là phương pháp thay thế hiệu quả nên như bị mất một hay nhiều răng trên cùng một khu vực, phương pháp này có thể giảm bớt một số nhược điểm của phương pháp hàm tháo lắp giả. Làm cầu răng sứ là kỹ thuật trồng răng giả cố định, tuy nhiên để làm được cầu răng đòi hỏi 2 răng lân cận phải tương đối chắc khỏe mới có thể đỡ được cầu răng. Ưu điểm là khả năng nhai tốt hơn so với hàm giả tháo lắp, tuổi thọ cao hơn và nhìn tự nhiên hơn. Nhược điểm là khó làm sạch xung quanh răng bên dưới cầu răng, không ngăn được sự tiêu xương, dễ sứt mẻ nếu ăn nhai đồ cứng…
- Cấy ghép Implant
Cấy ghép Implant thường là phương pháp được lựa chọn tốt khi cần thay thế một răng hay nhiều răng ở các vị trí khác nhau trong khoang miệng, Phương pháp này hiện đại và phục hồi khả năng ăn nhai tốt gần như răng thật. Khi thực hiện thì bạn được gắn một trụ chân răng giả vào trong hàm, rồi gắn chiếc răng thay thế vào tạo độ bám vững chắc. Ưu điểm phương pháp này là tuổi thọ răng giả kéo dài, phục hồi chức năng nhai tốt, thẩm mỹ cao, không ảnh hưởng các răng lân cận, hạn chế tình trạng tiêu xương. Nhược điểm là đây là phương pháp phẫu thuật cho nên cũng sẽ gây ra một vài biến chứng tương tự như các can thiệp phẫu thuật khác.
Như vậy, khi mất răng thì có nguy cơ gây ra nhiều hậu quả nghiêm trọng ảnh hưởng không chỉ tới sức khỏe mà còn thẩm mỹ của mỗi cá nhân. Cho nên nếu chẳng may gặp phải tình trạng này thì nên tới các cơ sở răng hàm mặt khám và điều trị sớm tránh để lâu ảnh hưởng tới sức khỏe và khả năng điều trị khó khăn hơn.



